Most people who want proactive health screening face the same obstacle: time. Between work demands, family commitments, and the friction of traditional healthcare, meaningful screening gets pushed to “someday.”
The TrueScan Focused Scan removes that barrier entirely.
What Is the Focused Scan
The Focused Scan is a streamlined MRI screening appointment designed to fit within a standard lunch break. Your total time at TrueScan is 45 minutes, including check-in, prep, the scan itself, and you are back to your day with results delivered within 48 hours.
No waiting rooms. No half-day appointments. No disruption to your work, your family, or your routine.

What the Focused Scan Covers
The Focused Scan covers the brain, head and neck vasculature, chest, abdomen, and pelvis. It is purpose-built for what matters most in asymptomatic early detection: solid organ cancers and brain aneurysms.
Critically, the Focused Scan includes a dedicated aneurysm assessment. A brain aneurysm affects approximately 1 in 50 people and carries a 40% fatality rate upon rupture, with 66% of survivors experiencing permanent neurological deficits. Most people with an unruptured aneurysm have zero symptoms.
The Focused Scan does not include:
- Spine imaging
- Musculoskeletal assessment
- Carotid artery evaluation
- Anything below the pelvis (knees, ankles, legs)
For comprehensive musculoskeletal, spine, and carotid coverage, the TrueScan Full-Body MRI remains the gold standard and the recommended starting point.
The Framework: Start Full, Then Focus

The Focused Scan is designed as a follow-up tool, not a first scan.
For that comprehensive peace of mind, the recommended sequence is:
- Begin with the TrueScan Total Health Package. Full-Body MRI (brain to ankle, 60 minutes) combined with the Coronary CTA with HeartFlow AI establishes your complete baseline across all major organ systems, vasculature, spine, musculoskeletal structures, and coronary arteries.
- Follow up annually or biannually with the Focused Scan. Once your baseline is established, the Focused Scan efficiently monitors the highest-risk areas for cancer development and aneurysm growth between full-body cycles.
This model mirrors how evidence-based surveillance medicine works. A comprehensive baseline followed by targeted interval monitoring has been shown to improve early detection rates while reducing patient burden.
Lynn's Story: From Detection to Recovery, Two Years Later


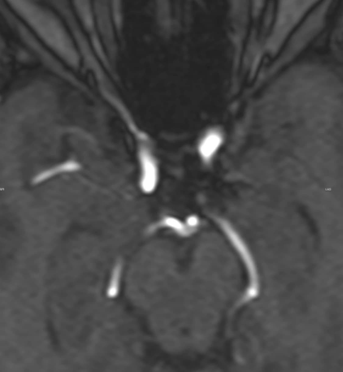
Lynn's 2024 Full-Body MRI identified a 9mm saccular aneurysm at the left internal carotid artery, a finding classified as severe, with neurosurgical and neurointerventional consultation strongly recommended immediately.
A 9mm aneurysm at this location carries an elevated rupture risk, and Lynn's radiologist noted that the MRA and T2-weighted sequences captured were sufficient to initiate the full consultation process without delay, moving her directly into specialist care.
Two years later, Lynn returned to TrueScan for her follow-up Full-Body MRI. Her 2026 report confirmed that she had undergone successful endovascular coiling of the aneurysm, and today's MRA showed no discernible residual or blood flow within the aneurysm sac.
Her radiologist compared the pre-coiling and post-coiling images side by side in the report, confirming stability and recommending continued surveillance per her neurosurgeon's protocol.
Lynn's story is the full arc of what proactive screening is built for: a silent aneurysm found before rupture, treated, and now monitored with the same attention to detail that caught it in the first place.
This kind of outcome is not rare. Studies estimate that roughly 2-3% of the global population harbors an unruptured intracranial aneurysm. The vast majority are never diagnosed until rupture.
48-Hour Results, No Waiting
Results are delivered within 48 hours with a physician-reviewed report. There are no vague summaries or unreviewed raw images. Every TrueScan report is reviewed and signed by a licensed radiologist.
You schedule, you scan, you move on, with peace of mind that your most important organ systems have been seen clearly.
Who the Focused Scan Is For
The Focused Scan is ideal for:
- Existing TrueScan patients returning for annual or biannual monitoring after an initial full body scan
- Adults aged 30-60 seeking proactive cancer and aneurysm screening with limited time
- People looking for meaningful surveillance without the full scope of a baseline workup
If you have not yet had a Full-Body MRI and coronary CTA, that is always the recommended first step.
The Focused Scan builds upon a firm foundation of proactive living and health. Start and maintain your best health journey today.
Citations
[1] Hop, J. W., Rinkel, G. J., Algra, A., & van Gijn, J. (1997). Case-fatality rates and functional outcome after subarachnoid hemorrhage: a systematic review. Stroke, 28(3), 660–664. link
[2] Kwee, R. M., & Kwee, T. C. (2019). Whole-body MRI for preventive health screening: A systematic review of the literature. Journal of Magnetic Resonance Imaging: JMRI, 50(5), 1489–1503. link
[3] Vlak, M. H., Algra, A., Brandenburg, R., & Rinkel, G. J. (2011). Prevalence of unruptured intracranial aneurysms, with emphasis on sex, age, comorbidity, country, and time period: A systematic review and meta-analysis. The Lancet Neurology, 10(7), 626-636. link




